Nov 21
/
Dr. Nate Lawson
Clinical Factors to Consider When Choosing a Material for an Anterior Crown
Based on a 2016 survey of US dentists, most anterior crowns are fabricated from either monolithic lithium disilicate (i.e., e.max) or porcelain fused to zirconia. (1) Since the time of that survey, the use of monolithic 4 or 5 mol% yttria-containing translucent zirconia (4Y or 5Y) has also become popular. In the hands of a skilled laboratory technician, either type of restoration can be esthetically pleasing and durable. Often a technician may have more experience with one type of restorative material and prefer using that material for anterior crowns.
In the absence of a technician’s preference, several clinical factors must be considered before prescribing restorative material.
In the absence of a technician’s preference, several clinical factors must be considered before prescribing restorative material.
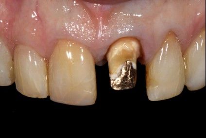
Color of the underlying tooth preparation

If the underlying tooth preparation is the hue and value of natural dentin, then material selection would not need to consider the color of the underlying tooth preparation. However, if the tooth preparation is stained, discolored, or contains a dark core material, the restorative material used for an anterior crown must be opaque enough to mask the preparation. One strategy to conceal a discolored tooth preparation is to perform internal bleaching of the tooth (if it is root canal treated) or place an opaquer on the preparation. Another option is to select a restorative material that is sufficiently opaque to block the discolored tooth. A study compared the ability of several different restorative materials to mask a C4 shade tooth preparation. (2) In the study, porcelain fused to 3 mol% yttria containing (3Y) zirconia or porcelain fused to HO e.max at 1.8mm combined thickness blocked out the C4 preparation. Monolithic LT e.max and 5Y translucent zirconia at 1.8mm thickness could not block the discoloration. Additionally, adding opaque cement had no significant effect on the ability of the crown to block out the discoloration. In summary, porcelain fused to 3Y zirconia or porcelain fused to HO e.max crown would be recommended for discolored tooth preparation.
Amount of incisal clearance
Amount of incisal clearance

If there is limited incisal clearance, it will limit the amount of restorative material thickness that can be used. The amount of restorative material thickness needed for each type of material varies based on the strength of the materials and the manufacturer’s recommendations.
It is important to note that these dimensions are minimum requirements, and the clinician should aim for slightly more reduction. Tooth reduction does not equal restorative material thickness, as a crown must also possess some external anatomy and internal die spacer thickness.
Choice of Cement
Based on a survey of US dentists, most dentists will choose to cement zirconia restorations with resin-modified glass ionomer (RMGI) cement and bond lithium disilicate restorations with resin cement. (3) Likely, RMGI cement is commonly used with zirconia restorations because it is strong enough to survive in the mouth without the additional reinforcement of resin bonding. The advantages of using RMGI cement are that it is easier to use, is more moisture tolerant, and releases fluoride. The advantages of resin cement are that it is more retentive, reinforces the strength of the restorative material, and reduces microleakage. Therefore, if a dentist has a reason to use RMGI cement, it may be preferable to prescribe a zirconia crown.
Summary
In summary, some reasons to consider prescribing a zirconia-based restoration for anterior crowns are if the tooth preparation is discolored, there is limited incisal clearance, and if the clinician desires to use RMGI cement.
References
2. Bacchi A, Boccardi S, Alessandretti R, Pereira GKR. Substrate masking ability of bilayer and monolithic ceramics used for complete crowns and the effect of association with an opaque resin-based luting agent. J Prosthodont Res. 2019 Jul;63(3):321-326.
3. Lawson NC, Litaker MS, Ferracane JL, Gordan VV, Atlas AM, Rios T, Gilbert GH, McCracken MS; National Dental Practice-Based Research Network Collaborative Group. Choice of cement for single-unit crowns: Findings from The National Dental Practice-Based Research Network. J Am Dent Assoc. 2019 Jun;150(6):522-530.
For lithium disilicate, the recommended lingual reduction had previously been 1.2mm. The new recommendation for lingual reduction for lithium disilicate if it is bonded with resin cement is 1mm. For translucent zirconia (i.e., 4Y and 5Y), manufacturers have recommended as little as 0.8mm of reduction. For 3Y zirconia, manufacturers have recommended as little as 0.4mm of reduction. Therefore, if there is limited incisal clearance, a selection of porcelain fused to a 3Y zirconia crown may be used as zirconia coping can be used with a limited thickness on the lingual and porcelain added to the facial for esthetics.
It is important to note that these dimensions are minimum requirements, and the clinician should aim for slightly more reduction. Tooth reduction does not equal restorative material thickness, as a crown must also possess some external anatomy and internal die spacer thickness.
Choice of Cement
Based on a survey of US dentists, most dentists will choose to cement zirconia restorations with resin-modified glass ionomer (RMGI) cement and bond lithium disilicate restorations with resin cement. (3) Likely, RMGI cement is commonly used with zirconia restorations because it is strong enough to survive in the mouth without the additional reinforcement of resin bonding. The advantages of using RMGI cement are that it is easier to use, is more moisture tolerant, and releases fluoride. The advantages of resin cement are that it is more retentive, reinforces the strength of the restorative material, and reduces microleakage. Therefore, if a dentist has a reason to use RMGI cement, it may be preferable to prescribe a zirconia crown.
Summary
In summary, some reasons to consider prescribing a zirconia-based restoration for anterior crowns are if the tooth preparation is discolored, there is limited incisal clearance, and if the clinician desires to use RMGI cement.
References
1. Makhija SK, Lawson NC, Gilbert GH, Litaker MS, McClelland JA, Louis DR, Gordan VV, Pihlstrom DJ, Meyerowitz C, Mungia R, McCracken MS; National Dental PBRN Collaborative Group. Dentist material selection for single-unit crowns: Findings from the National Dental Practice-Based Research Network. J Dent. 2016 Dec;55:40-47.
2. Bacchi A, Boccardi S, Alessandretti R, Pereira GKR. Substrate masking ability of bilayer and monolithic ceramics used for complete crowns and the effect of association with an opaque resin-based luting agent. J Prosthodont Res. 2019 Jul;63(3):321-326.
3. Lawson NC, Litaker MS, Ferracane JL, Gordan VV, Atlas AM, Rios T, Gilbert GH, McCracken MS; National Dental Practice-Based Research Network Collaborative Group. Choice of cement for single-unit crowns: Findings from The National Dental Practice-Based Research Network. J Am Dent Assoc. 2019 Jun;150(6):522-530.
About the Author

Dr. Lawson is the Director of the Division of Biomaterials at the University of Alabama at Birmingham School of Dentistry and the program director of the Biomaterials residency program. He graduated from UAB School of Dentistry in 2011 and obtained his PhD in Biomedical Engineering in 2012. He has served as an investigator on over 50 clinical and laboratory research grants, and published over 150 peer reviewed articles, book chapters, and research abstracts. His research interests are the mechanical, optical, and biologic properties of dental materials and clinical evaluation of new dental materials. He was the 2016 recipient of the Stanford New Investigator Award and the 2017 3M Innovative Research Fellowship both from the American Dental Association. He serves on the American Dental Association Council of Scientific Affairs and is on the editorial board of The Journal of Adhesive Dentistry and Compendium. He has lectured nationally and internationally on the subject of dental materials. He also works as a general dentist in the UAB Faculty Practice.
